- Hallux valgus und Deformitäten der Kleinzehen, speziell die Hammerzehe
Hallux valgus und assoziierte Kleinzehendeformitäten sind eine der häufigsten Deformitäten in der Fusschirurgie. Das klinische Erscheinungsbild ist oft eindeutig, jedoch ist eine präzise und umfassende klinische Untersuchung des Fusses entscheidend, um das weitere Prozedere festlegen zu können. Konventionell radiologisch können das Ausmass der knöchernen Deformität und allfällige Degenerationen diagnostiziert werden, was entscheidend ist für die weitere Therapieeinleitung. Meist kann konservativ therapiert werden, allerdings sind bei einer Fussdisproportion im Rahmen eines Hallux valgus die Anforderungen an einen Schuh, auch wenn orthopädisch angepasst, sehr hoch, weshalb es oft schwierig ist, sozial akzeptiertes Schuhwerk zu finden. Sind die konservativen Massnahmen ausgeschöpft, kann operativ therapiert werden; dies meist mittels ossärer Umstellung in Kombination mit Weichteileingriffen. Assoziierte Kleinzehendeformitäten können ebenfalls mitkorrigiert werden; kommen diese isoliert vor, kann vorgängig jedoch auch ein konservatives Prozedere mit entsprechender Entlastung gewählt werden.
Hallux valgus and associated small toe deformities are among the most common foot deformities in the Foot and Ankle unit. A thorough clinical examination of the foot is necessary to determine the further treatment, even if the appearance is clear and obvious. Plane radiographs can diagnose the degree of bone deformity and detect degeneration. Conservative treatment is typically chosen initially. However, disproportioned feet are challenging to address with a shoe even if adjusted by an orthopedic shoe maker. If conservative treatment fails, surgical treatment may be necessary. This typically involves osseous and soft tissue correction. Small toe deformities can be corrected in the same procedure. When isolated small toe deformities are present, a conservative procedure with appropriate pressure relief may be preferred as initial therapy.
Key Words: Hallux valgus, Reversed L Osteotomie, Hammerzehen, Vorfussdeformität
Hallux valgus
Einführung
Die Hallux valgus Deformität ist eine der häufigsten Deformitäten am Fuss. Vereinfacht handelt es sich um eine Abweichung der Achsen zwischen dem Metatarsale I und der proximalen Phalanx des ersten Strahls mit einer Lateraldeviation der Grosszehe. Bei der genaueren Betrachtung handelt es sich allerdings um eine komplexe multidimensionale Deformität, mitunter auch Rotationskomponente (1). Die geschätzte Prävalenz liegt bei ca. 18 % in der europäischen Bevölkerung und ist in der Mehrheit bilateral ausgeprägt (2, 3).
Die Ursachen dieser Deformität besteht aus extrinsischen Faktoren wie z.B. hohes und enges Schuhwerk, aber auch aus intrinsischen Faktoren wie die systemische Laxizität, einem Pes planus, einem instabilen ersten Strahl oder rheumatologischem Grundleiden (4, 5). Die Therapie besteht aus konservativen Möglichkeiten, z.B. der Schuhanpassung oder einer operativen Geradestellung des ersten Strahls (6).
Ätiologie
Für die Entwicklung eines Hallux valgus werden extrinsische und intrinsische Faktoren verantwortlich gemacht.
Zu den extrinsischen Faktoren gehört zum Beispiel die Wahl des Schuhwerks. Das Gehen im Schuhwerk mit hoher Ferse und enger Zehenbox prädisponiert mit den stark lateralisierenden und pronierenden Kräften das Ausbilden einer Hallux Deformität (5, 7). Man geht jedoch davon aus, dass die Schuhwahl weniger in der Entstehung, mehr in der Progression der Deformität eine wichtige Rolle spielt. Bezüglich der reinen Vorfussbelastung, so im Rahmen der beruflichen Tätigkeit oder auch des Übergewichts, konnte kein Zusammenhang festgestellt werden (8). So verändert sich über das Leben auch das Gangbild und die Druckverteilung am Fuss, was das Alter auch zu einem Risikofaktor macht für die Entwicklung eines Hallux valgus (9).
Intrinsische Faktoren sind sicherlich wenig bis gar nicht beeinflussbar, so zum Beispiel die genetische Prädisposition (10). So zeigt sich die Deformität in der weissen Bevölkerung doppelt so häufig wie bei den dunkelhäutigen Afrikanern. Es ist bewiesen, dass abhängig vom Geschlecht eine andere Anatomie vorliegen kann, so hat das weibliche Geschlecht eher einen kleineren Metatarsale Kopf, was das metatarsophalangeale (MTP) Gelenk eher instabil macht. Konsekutiv ist das Geschlechterverhältnis, welches operiert wird, in stark weiblicher Dominanz. Des Weiteren spielen systemische Laxizitäten eine grosse Rolle, es prädisponieren neben den unspezifischen systemischen Überbeweglichkeiten auch bekannte Bindegewebeerkrankungen für eine Hallux valgus Deformität, so zum Beispiel das Marfan-Syndrom, ein Ehler-Dahnlos-Syndrom oder eine rheumatoide Arthritis (4, 11).
Anatomische Varianten des Vor-, Rück- und Mittelfusses haben Einfluss auf die Hallux valgus Ausbildung. So begünstigt die Anatomie des ersten Strahls entscheidend die Lateraldeviation, dies mit zum Beispiel einer vermehrten Rotation des Metatarsale I, dessen Länge oder der Form des Metatarsale I Kopfes (12, 13). So führt auch eine Planuskomponente des Fusses zu einer vermehrten medialen Belastung der ersten Reihe und hiermit zu einer lateralisierenden Kraft, was den Hallux valgus ebenfalls prädisponiert.
Pathogenese
Die Entwicklung und die morphologischen Veränderungen um das MTP I Gelenk entstehen stufenweise (Abb. 1) (4, 14).
1. Die mediale Kapsel, das mediale Seitenband und das mediale Metatarso-Sesamoid-Ligament attenuiert zuerst, wodurch der Metatarsalkopf nach medial wandert und von den Sesamoiden abdriften kann.
2. Durch die Bindung an die Sesamoide und den Adductor hallucis bewegt sich das Grundglied nach lateral.
3. Die Crista auf der Plantarfläche des Metatarsale I wird langsam erodiert, sodass sich das Caput weiter nach medial bewegen kann.
4. Die Achse des Flexor hallucis longus und des Extensor hallucis longus verschiebt sich lateral des MTP und verstärkt den Adduktionshebel am Hallux.
5. Der Abductor hallucis wandert nach plantar unter das Gelenk und kann daher der Hallux valgus Deformität nichts mehr entgegenwirken. Zudem zieht er die proximale Phalanx in Pronation.
6. Die mediale MTP I Bursa verdickt sich durch die mechanische Irritation im Schuhwerk.
7. Die plantare Metatarsalarterie zur Grosszehe nimmt einen veränderten Verlauf zwischen den beiden Köpfen des Flexor hallucis brevis. Dies kann auch Erklärung sein, weshalb ein Teil der vom Patienten empfundenen Schmerzen auf eine mögliche ischämische Komponente zurückzuführen sein könnte.

Klinik
Meist präsentieren sich die Patienten mit einem schmerzhaften und prominenten medialen MTP I (Abb. 2). Dies führt oft zu Druckstellen mit Rötung und Schmerzen, so ist es in engem Schuhwerk schmerzhafter als in weiten und weichen Schuhen. Ist die Deformität fortgeschritten, kann es zu interdigitalen Konflikten kommen, mit Ulcerationen oder Kleinzehendeformitäten. Ebenso wird bei Rotation des ersten Strahls die mediale Seite des MTP vermehrt belastet, was medioplantar zu Hyperkeratosen führen kann. Bei äusserst ausgeprägten Befunden steht der zweite Strahl über oder unter dem ersten Strahl, hier spricht man von einer Superductussituation.
In der klinischen Untersuchung ist wichtig, dass die Symptomatik von der Hallux valgus Deformität ausgeht und nicht von einer anderen periartikulären Struktur, so zum Beispiel einer Sesamoiditis (Druckdolenz plantar über den Sesamoiden) oder einer MTP I Degeneration (Arthrose-Schmerz). Dies unterscheidet danach die Therapiestrategie und gilt es klinisch zu unterscheiden.
Im Rahmen einer operativen Vorbereitung ist durch den Facharzt zu prüfen, ob der erste Strahl stabil ist, dies entscheidet, ob man eine Korrektur am distalen Metatarsale durchführen kann oder ob eine tarsometatarsale (TMT) I Versteifung notwendig ist (15). Ebenso ist die Pronation des ersten Strahls zu berücksichtigen, dies kann die gewählte Operationstechnik beeinflussen.

Diagnostik
Als primär diagnostisches Tool wird das konventionelle belastete Röntgenbild durchgeführt (6, 16, 17). Es können einige radiologische Winkel bestimmt werden, so zum Beispiel zwischen dem Schaft des Metarsale I und dem Schaft der proximalen Phalanx, dies ist der klassische Hallux valgus Winkel (HVA), der Winkel zwischen den ersten beiden Metatarsale (IMA) und der Winkel zwischen den Phalangen (HVI) (Abb. 3). Schnittbildgebungen wie MRI oder CT werden im Normalfall nicht benötigt. Ein MRI wird jedoch durchgeführt, wenn zum Beispiel der Knorpelzustand am MTP I beurteilt werden muss, da schon eine Arthrose bestehen könnte oder wenn Schmerzen in den Zwischenzehenräumen bestehen und ein Mortonneurom vermutet wird (18). Zunehmend können auch stehende CT Bildgebungen durchgeführt werden, dies zum einen um die Rotation des Metatarsale und die Position der Sesambeine genauer beurteilen zu können, zum anderen gibt es eine sehr potente Übersicht des Fusses unter Belastung, was die präoperative Vorbereitung stark präzisieren kann (19).


Therapie
Die Therapieoptionen bestehen aus dem konservativen oder dem operativen Vorgehen.
Konservativ gilt es hauptsächlich, die Deformität, welche auf die umliegenden Strukturen drückt, zu schützen oder dafür Platz zu machen. Möchte man die Deformität korrigieren, haben die konservativen Therapien keinen Erfolg gezeigt, dies ist ausschliesslich mit einer Operation möglich.
Konservativ kann man weites Schuhwerk kaufen, auf eine grosse Zehenbox achten, den zweiten Strahl vor mechanischem Druck schützen, mit einer Zehenorthese, eine orthopädische Einlage anpassen oder eine redressierende Bandage applizieren (21, 22). Oft ist das Finden von passendem Schuhwerk nicht einfach, da eine weite Zehenbox und eine schmale Fersenfassung nicht dem heutigen Trend entsprechen, deshalb muss ab einer bestimmten Ausprägung der Fussdisproportion sehr schnell auf orthopädisches Schuhwerk mit Brandsohlenverbreiterung gewechselt werden, falls eine Operation nicht gewünscht oder nicht möglich ist.
Operativ wurden früher reine Weichteileingriffe durchgeführt, was jedoch aufgrund deren Ineffektivität und der hohen Rezidivraten wieder verlassen wurde (23, 24). Solche Weichteileingriffe werden allerdings weiterhin durchgeführt, dies ausschliesslich in Kombination mit ossären Umstellungen (23). Ebenso wurden Resektionsarthroplastiken des MTP I Gelenk, die sogenannte Keller-Brandes-Operation, angeboten. Hier wird die Basis der proximalen Phalanx abgetrennt und eine Pseudarthrose provoziert. Nicht nur hat man eine hohe Rezidivrate gesehen, zudem wird durch die Reduktion der Vorspannung der Sehnen die Plantarflexionskraft um bis zu 40 % reduziert. Aufgrund der resezierten ossären Strukturen sind die möglichen Revisionsoperationen eingeschränkt, weshalb auch diese Technik weitestgehend verlassen wurde (23).
So werden heutzutage hauptsächlich Osteotomien am Metatarsale I, TMT I oder MTP I Versteifungen durchgeführt.
Handelt es sich um eine isolierte Hallux valgus Deformität oder besteht schon eine Degeneration am MTP können Metatarsale Ostoeomien durchgeführt, bei schweren Deformitäten, TMT I Hypermobilität oder auch rotationale Deformitäten sollten TMT I Arthrodesen durchgeführt werden (25). Zeigt das MTP eine schwere und symptomatische Degeneration auf, kann die Korrektur über eine MTP I Arthrodese angegangen werden. Eine der möglichen Osteotomieformen am Metatarsale I, welche sich über nun fast zwei Jahrzehnte bewährt hat, ist die «Reversed-L oder Reve-L» Osteotomie (25-27) (Abb. 4).
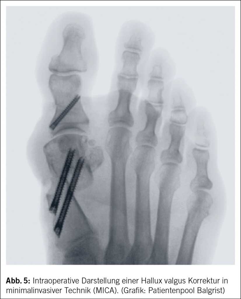
Aktuell im Trend sind auch minimalinvasive Hallux valgus Operationen, auch MICA genannt (Minimal Invasive Chevron and Akin osteotomy) (Abb. 5). Die aktuell nun dritte Generation, mit Schraubenfixierung befestigte Variante osteotomiert das Metatarsale über diverse kleinere Schritte und fixiert es anschliessen mit grosskalibrigen langen Schrauben (28, 29). Die MICA konnte sich gegenüber den herkömmlichen Verfahren allerdings noch nicht als besser beweisen, so können mit der MICA Versorgung jedoch gewisse Indikationen erweitert werden, die bislang mit einer Versteifung versorgt wurden.

Resultate
Im Grunde ist die operative Versorgung der Hallux valgus Deformität auch im Langzeitverlauf mit einer zuverlässigen Korrektur der Deformität und einer guten Beschwerdelinderung sowie einer über 90%igen Patientenzufriedenheit assoziiert (27, 30, 31). Im Schnitt und bei korrekter Indikation wird der HVA Winkel auf 10.8° korrigiert, was hiermit einem Normalwinkel entspricht.
Die Hauptkomplikation ist ein radiologisches Rezidiv, dies tritt nur in der Minderheit der Fälle auf und ist selten symptomatisch. So ist auch verständlich, dass Patienten mit einem präoperativ schweren Hallux valgus eher postoperativ einen HVA >15° und somit ein Rezidiv haben als Patienten mit milderen Formen der Deformität. Komplikationen, die eine Revisionsoperation benötigen, sind mit ca. 2–3 % äusserst selten, dagegen ist die Zahl der elektiven Zweitoperationen zur Entfernung der störenden Schrauben deutlich höher (27, 31).
Kleinzehen Deformitäten
Einführung
Kleinzehendeformitäten und speziell die Hammerzehendeformität sind häufig Folge einer muskuloskelettalen Dysbalance. Die drei häufigsten Arten der Kleinzehendeformitäten sind der Mallet-Zeh, der Hammer-Zeh und der Krallen-Zeh (32). Obwohl die Kleinzehen einen kleineren funktionellen Einfluss haben als der erste Strahl, sind diese doch sehr relevant und können bei älteren Patienten, mit einer Reduktion der Gehdistanz, einer schlechteren Lebensqualität, einer erhöhten Sturzgefahr, aber auch mit Ulcerationen und erhöhtem Risiko eines Infekts assoziiert sein (33, 34).
Ätiologie
Gründe für die Entwicklung von Kleinzehendeformitäten können Instabilitäten der periartikulären Strukturen sein, vor allem der plantaren Platte, Instabilitäten des Fusses oder des MTP Gelenks, Rheumatologische Erkrankungen mit entsprechender Degeneration, akute oder chronische Traumatisierung im Rahmen einer Überlastung (32, 33, 35). Weitere sind in der Tab. 2 aufgelistet.

Klinik und Diagnose
Primär kann die Diagnose klinisch gestellt werden. Hauptsächlich soll auf das Integument und mögliche Hyperkeratosen mit darunterliegenden Ulcerationen geachtet werden. In der Gangprüfung korrespondieren Hyperkeratosen meist mit erhöhtem Druck auf dem Boden oder im Schuh, so soll auch das Schuhwerk begutachtet werden und mögliche Druckstellen lassen sich am Leder oder in der Einlage erkennen.
Es soll beurteilt werden, ob die Deformität flexibel oder rigide ist, ebenso kann untersucht werden, ob die Zehe im MTP noch stabil ist oder nicht.
Ebenfalls ist ein Röntgenbild des Vorfusses wichtig, um ossäre Läsionen auszuschliessen.
Therapie
Konservative Möglichkeiten sind, passendes Schuhwerk zu kaufen mit weiter Zehenbox, und das Anpassen einer orthopädischen Masseinlage mit distaler Weichbettung. Hier ist zu beachten, dass die Einlagen meist eine raumfüllende Wirkung im Schuh haben und somit in dieser Situation, wenn sie nicht richtig angepasst sind, schlecht toleriert werden.
Weiter gibt es konfektionierte oder massgefertigte Zehenorthesen oder ein Zehen-Glättungspolster angepasst durch einen Orthetiker.
Operative Therapien sind indiziert, wenn die konservativen Massnahmen ausgeschöpft sind und die Beschwerden insuffizient reduziert werden können. Hier gibt es Techniken mit Erhalt der Gelenke, so zum Beispiel der perkutanen Flexorentenotomie. Bei dieser Technik kann vor allem bei erhöhtem Zug der Flexoren die Plantarflexionskraft und somit die apikale Punktbelastung reduziert werden. Dies kann sehr minimalinvasiv Ulzerationen und Spitzenbelastungen reduzieren (36).
Alternativ kommt bei starken Fehlstellungen oder auch zeitgleicher Stabilisation im MTP Gelenk die Hohmann-Prozedur infrage. Hierbei wird das proximale interphalangeale Gelenk entfernt und ein Stabilisationsdraht wird eingebracht und für 6 Wochen belassen (Abb. 6) (37). Die Patientenzufriedenheit ist bei korrekter Indikation mit >80 % sehr hoch und hat die Rezidivdeformität als Hauptkomplikation. Daneben sind die am Häufigsten berichteten Unzufriedenheiten Schwellung, Steifigkeit, Taubheit und schlechtere Funktion (37).

Abkürzungen
MTP Metatarsophalangeal
TMT Tarsometatarsale
IP Interphalangeal
HVA Hallux valgus Winkel
IMA intermetatarsale Winkel
HVI Hallux intervalangeus Winkel
ReveL Reversed L-shaped Osteotomie
MICA Minimalinvasive Chevron und Akin Osteotomie
Copyright Aerzteverlag medinfo AG
Abteilung für orthopädische Chirurgie
Universitätsklinik Balgrist
Forchstrasse 340
8008 Zürich
Abteilung für orthopädische Chirurgie
Universitätsklinik Balgrist
Forchstrasse 340
8008 Zürich
Die Autoren haben keine Interessenkonflikte im Zusammenhang mit diesem Artikel deklariert.
- Das Krankheitsbild des Hallux valgus ist eines der häufigsten in der fusschirurgischen Klinik, nicht in allen Fällen symptomatisch und Ausdruck einer multidirektionalen Deformität.
- Ätiologisch sind intrinsische und extrinsische Ursachen verantwortlich, die Wahl des Schuhwerks kann die Progredienz beschleunigen.
- Konservative Therapieformen können die Symptome lindern, die Korrektur der Deformität kann ausschliesslich mittels Operation angegangen werden.
- Kleinzehendeformitäten können gerade bei älteren Patienten einen grossen Einfluss auf das Wohlbefinden und die Mobilität haben, deren Krankheitswert wird oft unterschätzt.
1. Okuda R, Kinoshita M, Yasuda T, Jotoku T, Kitano N, Shima H. The shape of the lateral edge of the first metatarsal head as a risk factor for recurrence of hallux valgus. J Bone Joint Surg Am. 2007;89(10):2163-72.
2. Cai Y, Song Y, He M, He W, Zhong X, Wen H, et al. Global prevalence and incidence of hallux valgus: a systematic review and meta-analysis. J Foot Ankle Res. 2023;16(1):63.
3. Coughlin MJ, Smith BW. Hallux valgus and first ray mobility. Surgical technique. J Bone Joint Surg Am. 2008;90 Suppl 2 Pt 2:153-70.
4. Perera AM, Mason L, Stephens MM. The pathogenesis of hallux valgus. J Bone Joint Surg Am. 2011;93(17):1650-61.
5. SIM-FOOK L, HODGSON AR. A comparison of foot forms among the non-shoe and shoe-wearing Chinese population. J Bone Joint Surg Am. 1958;40-A(5):1058-62.
6. Fraissler L, Konrads C, Hoberg M, Rudert M, Walcher M. Treatment of hallux valgus deformity. EFORT Open Rev. 2016;1(8):295-302.
7. Corrigan JP, Moore DP, Stephens MM. Effect of heel height on forefoot loading. Foot Ankle. 1993;14(3):148-52.
8. Frey C, Zamora J. The effects of obesity on orthopaedic foot and ankle pathology. Foot Ankle Int. 2007;28(9):996-9.
9. Scott G, Menz HB, Newcombe L. Age-related differences in foot structure and function. Gait Posture. 2007;26(1):68-75.
10. Piqué-Vidal C, Solé MT, Antich J. Hallux valgus inheritance: pedigree research in 350 patients with bunion deformity. J Foot Ankle Surg. 2007;46(3):149-54.
11. Carl A, Ross S, Evanski P, Waugh T. Hypermobility in hallux valgus. Foot Ankle. 1988;8(5):264-70.
12. Mancuso JE, Abramow SP, Landsman MJ, Waldman M, Carioscia M. The zero-plus first metatarsal and its relationship to bunion deformity. J Foot Ankle Surg. 2003;42(6):319-26.
13. Wagner E, Wagner P. Metatarsal Pronation in Hallux Valgus Deformity: A Review. J Am Acad Orthop Surg Glob Res Rev. 2020;4(6).
14. HAINES RW, McDOUGALL A. The anatomy of hallux valgus. J Bone Joint Surg Br. 1954;36-B(2):272-93.
15. Roukis TS, Landsman AS. Hypermobility of the first ray: a critical review of the literature. J Foot Ankle Surg. 2003;42(6):377-90.
16. Heineman N, Liu G, Pacicco T, Dessouky R, Wukich DK, Chhabra A. Clinical and imaging assessment and treatment of hallux valgus. Acta Radiol. 2020;61(1):56-66.
17. Boszczyk A, Kwapisz S, Kiciński M, Kordasiewicz B, Liszka H. Non-weightbearing compared with weightbearing x-rays in hallux valgus decision-making. Skeletal Radiol. 2020;49(9):1441-7.
18. Owens R, Gougoulias N, Guthrie H, Sakellariou A. Morton’s neuroma: clinical testing and imaging in 76 feet, compared to a control group. Foot Ankle Surg. 2011;17(3):197-200.
19. de Cesar Netto C, Richter M. Use of Advanced Weightbearing Imaging in Evaluation of Hallux Valgus. Foot Ankle Clin. 2020;25(1):31-45.
20. Robinson AH, Limbers JP. Modern concepts in the treatment of hallux valgus. J Bone Joint Surg Br. 2005;87(8):1038-45.
21. M K. Current concepts review of hallux valgus. In: Kakwani R, editor. Journal of Arthroscopy and Joint Surgery: Elsevier; 2021. p. 222-30.
22. Nakagawa R, Yamaguchi S, Kimura S, Sadamasu A, Yamamoto Y, Muramatsu Y, et al. Efficacy of foot orthoses as nonoperative treatment for hallux valgus: A 2-year follow-up study. J Orthop Sci. 2019;24(3):526-31.
23. Johnson JE, Clanton TO, Baxter DE, Gottlieb MS. Comparison of Chevron osteotomy and modified McBride bunionectomy for correction of mild to moderate hallux valgus deformity. Foot Ankle. 1991;12(2):61-8.
24. Choi GW, Kim HJ, Kim TS, Chun SK, Kim TW, Lee YI, et al. Comparison of the Modified McBride Procedure and the Distal Chevron Osteotomy for Mild to Moderate Hallux Valgus. J Foot Ankle Surg. 2016;55(4):808-11.
25. Vienne P, Favre P, Meyer D, Schoeniger R, Wirth S, Espinosa N. Comparative mechanical testing of different geometric designs of distal first metatarsal osteotomies. Foot Ankle Int. 2007;28(2):232-6.
26. Cingoz T, Ziroglu N, Bozdag E, Yamak F, Yozgatli TK, Bayramoglu A, et al. Biomechanical comparison of reverse offset-L osteotomy and chevron osteotomy in cadaveric hallux valgus surgery. J Foot Ankle Res. 2024;17(3):e12046.
27. Jentzsch T, Renner N, Niehaus R, Farei-Campagna J, Deggeller M, Scheurer F, et al. Radiological and Clinical Outcome After Reversed L-Shaped Osteotomy: A Large Retrospective Swiss Cohort Study. J Foot Ankle Surg. 2019;58(1):86-92.
28. Toepfer A, Strässle M. 3rd generation MICA with the „K-wires-first technique“ – a step-by-step instruction and preliminary results. BMC Musculoskelet Disord. 2022;23(1):66.
29. Vernois J, Redfern DJ. Percutaneous Surgery for Severe Hallux Valgus. Foot Ankle Clin. 2016;21(3):479-93.
30. van Groningen B, van der Steen MC, Reijman M, Bos J, Hendriks JG. Outcomes in chevron osteotomy for Hallux Valgus in a large cohort. Foot (Edinb). 2016;29:18-24.
31. Weigelt L, Davolio N, Torrez C, Haug F, Kühne N, Wirth SH. Long-Term Results After Hallux Valgus Correction with Distal Metatarsal Reversed-L (ReveL) Osteotomy: Factors That Influence Recurrence and the Clinical Outcome. JB JS Open Access. 2024;9(3).
32. Shirzad K, Kiesau CD, DeOrio JK, Parekh SG. Lesser toe deformities. J Am Acad Orthop Surg. 2011;19(8):505-14.
33. Darcel V, Piclet-Legré B. Lesser-toe deformity. Orthop Traumatol Surg Res. 2023;109(1S):103464.
34. Louwerens JW. Lesser Toe Deformities. In: Schrier JCM, editor. European Surgical Orthopaedics and Traumatology: Springer; 2014.
35. Chalayon O, Chertman C, Guss AD, Saltzman CL, Nickisch F, Bachus KN. Role of plantar plate and surgical reconstruction techniques on static stability of lesser metatarsophalangeal joints: a biomechanical study. Foot Ankle Int. 2013;34(10):1436-42.
36. Scott JE, Hendry GJ, Locke J. Effectiveness of percutaneous flexor tenotomies for the management and prevention of recurrence of diabetic toe ulcers: a systematic review. J Foot Ankle Res. 2016;9:25.
37. Edwards WHB. Interphalangeal joint arthrodesis of the lesser toes. In: Beischer AD, editor. Foot and Ankle clinics Am: WBS; 2002.
der informierte @rzt
- Vol. 14
- Ausgabe 12
- Dezember 2024







