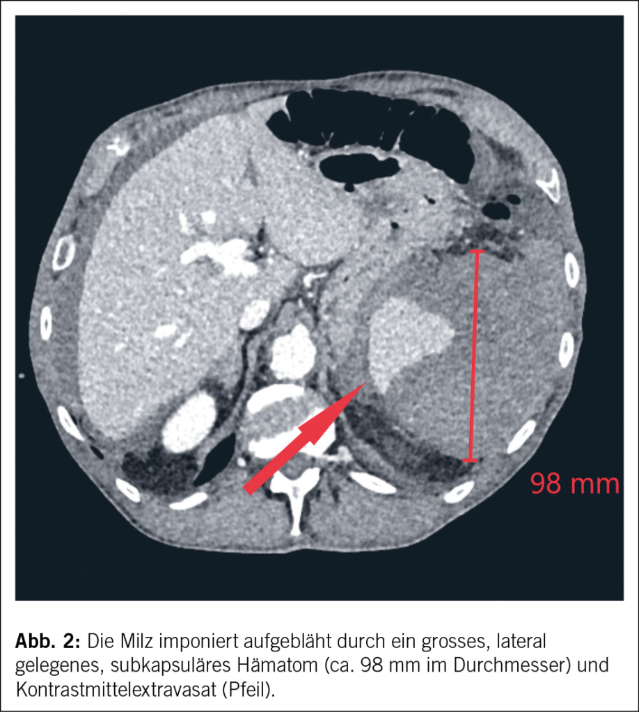
- Eine seltene Ursache der Milzruptur
Bitte melden Sie sich mit Ihrem Abonnement-Login an
Der Zugriff zum lesen der Artikel ist beschränkt. Artikel der Magazine «Praxis» und «Therapeutische Umschau» können nur mit einem Abonnement-Login gelesen werden.
Informationen zum Swiss RX Login
Ab dem 1. Januar 2022 erfolgt die Anmeldung zum lesen der Artikel auf unserer Homepage über das Swiss RX Login. Melden Sie sich mit Ihrem Benutzernamen/E-Mail oder Ihrer GLN-Nummer an, mit der Sie bei Swiss RX registriert sind. Falls Sie noch kein Swiss RX Login besitzen, so können Sie sich als Medizinalperson kostenlos auf swiss-rx-login.ch registrieren.
Wichtig!
Sie sind auf www.medinfo-verlag.ch und bei SWISS RX Login mit derselben E-Mail-Adresse registriert: Keine Anpassung Ihrerseits notwendig.
Sie sind auf www.medinfo-verlag.ch und bei Swiss RX Login NICHT mit derselben E-Mail-Adresse registriert: Bitte gleichen Sie in Ihrem Benutzerkonto Ihre E-Mail-Adresse auf www.medinfo-verlag.ch derjenigen auf SWISS RX Login an.
PRAXIS
- Vol. 114
- Ausgabe 1
- Januar 2025






